李先生のケースレポート論文がpublishされました
Cureus誌に李瑛先生のケースレポート論文「Late-Onset Intracranial Hemorrhage Presenting as Refractory Hyponatremia: A Case Report(難治性低ナトリウム血症を呈した遅発性頭蓋内出血:症例報告)」が掲載されました。
Lee Y, Son D, Imaoka S, et al. Late-Onset Intracranial Hemorrhage Presenting as Refractory Hyponatremia: A Case Report. Cureus 2023;15(5):e38810.
(上記リンクよりフリーで全文が読めます)
本論文の骨子は以下の通りです。
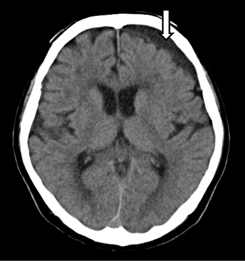
- 頭部外傷後に難治性低Na血症と遅発性頭蓋内出血を呈した70歳男性
- 転倒で入院し低Na血症が遷延した後、2週後に慢性硬膜下血腫が見つかった
- 難治性低ナトリウム血症をみた場合、遅発性頭蓋内出血を疑うことが臨床的に重要である
Figure 1. 左の慢性硬膜下血腫を呈した入院13日後の頭部CT



