中井先生のケースレポート論文がPUBLISHされました
Cureus誌に中井翼先生のケースレポート論文「Acute Mesenteric Ischemia Mimicking Severe COVID-19 Pneumonia: A Case Report on Diagnostic Challenges and Management.(重症COVID-19肺炎と似た急性腸間膜虚血: 診断の課題と治療に関する症例報告)」が掲載されました。
Nakai T, Son D (May 16, 2024) Acute Mesenteric Ischemia Mimicking Severe COVID-19 Pneumonia: A Case Report on Diagnostic Challenges and Management. Cureus 16(5): e60466. doi:10.7759/cureus.60466
(上記リンクよりフリーで全文が読めます)
本論文の骨子は以下の通りです。
発熱、酸素化不良、意識障害で搬送され、PCRでCOVID-19が検出された90代男性。
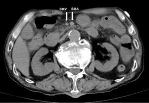
当初はCOVID-19肺炎が疑われたが、胸部CTでは肺炎像はなく、腹部CTで腸間膜虚血が見つかった。
COVID-19は全身の血栓性の合併症を引き起こす。特に重症例では迅速で包括的な画像評価が必要である。
Figure 3. 腹部CTで認められた上腸間膜静脈の狭小化。急性腸間膜虚血を示唆する。



